
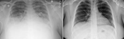
Washington. Las autoridades de salud de Estados Unidos anunciaron el viernes que pueden haber descubierto el misterio de la enfermedad pulmonar que ha afectado a más de 2.000 vapeadores y ha causado 39 muertes en el país: un aceite de vitamina E aparentemente agregado a los rellenos de cannabis vendidos en el mercado negro.
Los investigadores ya habían identificado este aceite como posible responsable de esta epidemia, pero sus sospechas fueron confirmadas por sus hallazgos en 29 pacientes cuyos fluidos pulmonares fueron analizados por los Centros de Control y Prevención de Enfermedades (CDC).
"Estos análisis proporcionan evidencia directa de que el acetato de vitamina E es la principal causa de daño pulmonar", dijo Anne Schuchat, subdirectora de los CDC. Acetato es el nombre químico de la molécula.
Schuchat señaló que "aún no se ha detectado ninguna otra toxina potencial en los análisis".
La vitamina E es normalmente inofensiva. Se puede comprar bajo la forma de una cápsula para tragar o de un aceite para aplicar sobre la piel, pero es dañina una vez inhalada o calentada.
De 18 a 21 años
Los hallazgos se produjeron horas después de que el presidente de Estados Unidos, Donald Trump, anunciara su deseo de aumentar de 18 a 21 años la edad mínima para consumir cigarrillos electrónicos en Estados Unidos.
La declaración del mandatario se inscribe en el marco de un plan más amplio para reducir el vapeo juvenil que se dará a conocer "la próxima semana".
"Vamos a anunciar una iniciativa muy importante sobre el vapeo, tenemos que cuidar especialmente a nuestros hijos, por lo que fijaremos un límite de edad de aproximadamente 21 años", dijo el republicano a periodistas.
Pero al mismo tiempo expresó su preocupación por el impacto que unas restricciones demasiado severas podrían tener sobre el futuro de esta industria naciente.
Su administración podría reconsiderar el proyecto de prohibir los cigarrillos electrónicos, anunciado en septiembre.
“Tenemos que cuidar a mucha gente, pero también los trabajos”, dijo el mandatario. “Se ha convertido en una gran industria, nos encargaremos de esto”.