
Un hombre de Malasia alcanzó un récord mundial poco común tras comprobar que posee 42 dientes en la boca, diez más que el promedio de un adulto. El protagonista es Prathab Muniandy, de 33 años, quien obtuvo el reconocimiento oficial del Guinness World Records tras la verificación de especialistas.
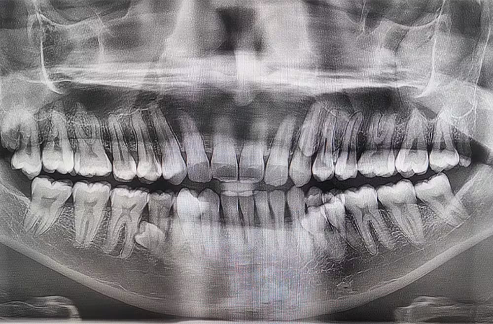
La cifra llamó la atención porque un adulto suele tener 32 dientes. Sin embargo, los exámenes dentales de Muniandy revelaron una condición inusual. En una primera revisión se contaron 38 dientes visibles.
Posteriormente, un examen de rayos X permitió detectar cuatro dientes adicionales que aún no habían erupcionado, lo que elevó el total a 42 piezas dentales.
El Guinness World Records divulgó el caso este jueves 5 de marzo. Dentistas revisaron los estudios clínicos y confirmaron la cifra en 2023. Con ese proceso, el malasio obtuvo el título de hombre con mayor número de dientes en el mundo.
Según relató Muniandy, muchas personas no perciben la particularidad en su boca. La reacción surge cuando él mismo lo menciona. En ese momento aparece la sorpresa porque supera el promedio de dentadura humana.
Una condición poco común
La característica que explica este caso es la hiperdontia. Se trata de una condición rara en la que una persona presenta dientes adicionales o supranumerarios.
Los estudios indican que esta anomalía representa entre 1% y 3% de las anomalías dentales. También ocurre dos veces más en hombres que en mujeres.
La revista European Journal of Dentistry indicó que la hiperdontia puede aparecer con mayor frecuencia en personas que padecen enfermedades raras o trastornos genéticos.
Entre ellas destacan el síndrome de Ehlers-Danlos, el síndrome de Gardner y la enfermedad de Fabry. También puede presentarse en personas con labio leporino, fenda palatina o displasia cleidocraneana (DCC).

Posibles efectos en la salud bucal
La hiperdontia puede generar dolor o dificultades para masticar cuando existen muchos dientes adicionales.
Además, algunos pacientes presentan complicaciones como impacción dental, situación en la que el diente no logra erupcionar por completo o queda atrapado en el hueso o la encía.
Otros problemas asociados incluyen mala oclusión, caries dentales, apilamiento de dientes y quistes orales benignos.
En el caso de Prathab Muniandy, la condición no generó complicaciones en su salud bucal.
El malasio expresó que el reconocimiento mundial representa un motivo de orgullo. Señaló que saber que posee el récord de mayor número de dientes en el mundo resulta una experiencia muy especial.
*La creación de este contenido contó con la asistencia de inteligencia artificial. La fuente de esta información es de un medio del Grupo de Diarios América (GDA) y revisada por un editor para asegurar su precisión. El contenido no se generó automáticamente.
