La periodista y presentadora de televisión Ginnés Rodríguez reveló recientemente en sus plataformas digitales que deberá someterse a una costosa cirugía de columna vertebral.
A través de un video en TikTok, Rodríguez se sinceró con sus seguidores y compartió su situación de salud, la cual muchos desconocían.
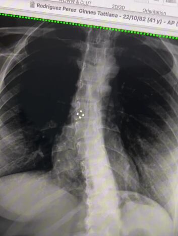
“Esta es mi columna y necesito operarla. Debido a todo lo que atravesamos con Gerardo (su esposo), lo pospuse, pero lo retomé a finales del 2023″, expresó la comunicadora.
Sin embargo, al llegar al hospital de Heredia, se encontró con que, debido a un problema de hackeo experimentado por el centro médico, las resonancias e imágenes de su condición desaparecieron. Además, el médico especializado en escoliosis renunció a la Caja Costarricense de Seguro Social (CCSS) en ese momento.
LEA MÁS: Ginnés Rodríguez recuerda a su esposo Gerardo Zamora en el aniversario de su fallecimiento
Por lo tanto, Ginnés admitió que tuvo que recurrir al sector privado para llevar a cabo la cirugía. También reconoció que está haciendo todo lo posible, ya que esta operación es cara.
“Cada tornillo que necesitan poner en mi columna vertebral puede costar alrededor de $2.000, y creo que necesitaré unos diez”, explicó la presentadora del programa Informe 11.
La periodista compartió este mensaje con sus seguidores como muestra de agradecimiento por el amor y el apoyo que siempre le brindan, mientras confía en dejar las cosas en manos de Dios. “Yo sé que vamos a poder cumplir con esta siguiente meta”.
¿Qué es la condición de escoliosis que padece Ginnés Rodríguez?
La escoliosis es una condición médica en la que la columna vertebral se curva de manera anormal hacia un lado, formando una especie de “S” o “C” en lugar de la línea recta normal. Esta curvatura puede ser leve o severa y puede afectar tanto a niños como a adultos.
Los síntomas de la escoliosis pueden variar dependiendo de la gravedad de la curvatura y pueden incluir desequilibrio en la postura, dolor de espalda, dificultad para respirar si la curvatura afecta a los pulmones y problemas neurológicos si la columna comprime los nervios espinales.

