
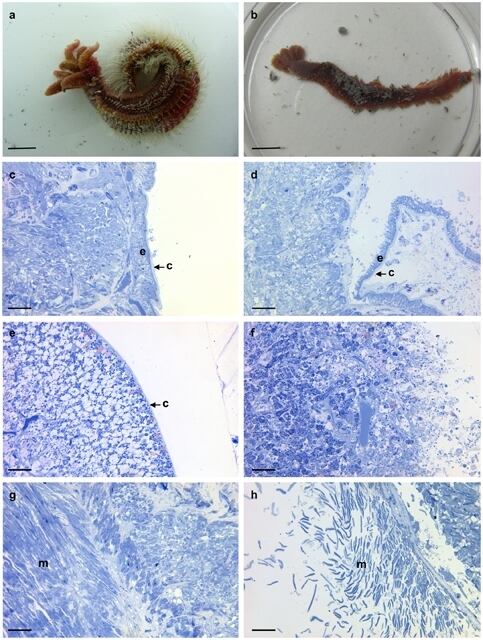
La temperatura máxima a la que sobrevive la vida animal está por debajo de los 42 °C, un límite menor que los 50 °C que se tenía por cierto anteriormente, según un estudio hecho con gusanos de Pompeya ( Alvinella pompejana ), una de las especies de animales más tolerantes al calor en la Tierra.
Científicos de la Universidad de Pierre y Marie Curie, en París, realizaron el primer experimento de laboratorio en el cual se sometió a los gusanos de Pompeya a pruebas de calor.
“Antes de estos estudios se había creído durante mucho tiempo que los 50 grados centígrados era el límite al que sobrevivía la vida animal”, dijo Bruce Shillito, líder de la investigación.
Sin embargo, los científicos obtuvieron pruebas empíricas de que, a 50 grados centígrados, los animales no eran capaces de sobrevivir por más de dos horas.
En el experimento, los científicos descubrieron que la mayoría de los gusanos sobrevivieron a una temperatura de 42 grados centígrados de manera prolongada. A esta temperatura, el daño celular no fue significativo.
Los resultados del estudio fueron publicados en la revista científica de acceso libre PlosOne .
Prueba difícil. Los gusanos de Pompeya viven dentro de fumarolas en el fondo del mar. Desde que fueron descubiertos en la década de 1980, su capacidad de sobrevivir y prosperar en condiciones extremas de temperatura y presión intriga a los científicos.
Según Shillito y su equipo, las pruebas que midieron anteriormente los límites de temperatura a la cual podrían vivir los gusanos de Pompeya fueron teóricas o pruebas analíticas de las macromoléculas, y solamente ahora se realiza un experimento con los animales vivos.
Para esto, el equipo del doctor Shillito utilizó una especie de submarino que descendió en cuatro ocasiones a una profundidad de 2.500 metros hasta las fumarolas y extrajo unos 70 gusanos.
Una vez extraídos, era importante mantener las condiciones de presión y temperatura extremas para que los animales sobrevivieran hasta llegar al laboratorio. También se diseñó un acuario de alta presión y temperatura controlada para llevar a cabo las mediciones.
Calentamiento. “Este tipo de estudios se necesitan con urgencia para entender mejor las respuestas biológicas de la fauna de grandes profundidades a los cambios ambientales”, escribió el equipo de Shillito en su reporte.
La temperatura a la que pueden sobrevivir distintas especies es de gran interés para investigadores de alrededor del mundo, quienes desean saber cómo podría afectarnos los inminentes cambios de temperatura atribuidos al calentamiento mundial.
Otras especies que sobreviven a altas temperaturas y han sido estudiadas para saber el límite máximo de sobrevivencia animal, son las hormigas del desierto Cataglyphis bombycina y Cataglyphis bicolor, y una especie de crustáceo del género Potamocypris , encontrado en el desierto del Sahara y en el Medio Oriente.