
Investigadores de la Universidad de Costa Rica (UCR) y de la Universidad de Leeds (Inglaterra) hallaron una mutación genética asociada con una enfermedad que provoca una sensibilidad mucho mayor en los dientes.
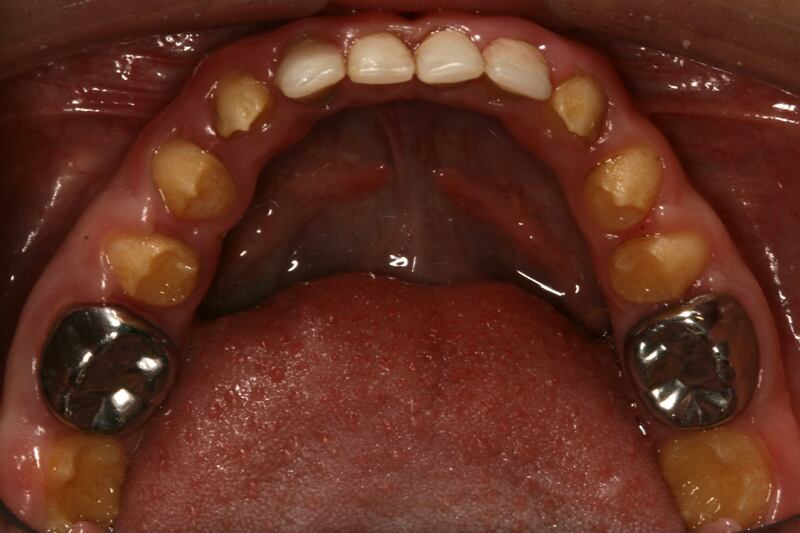
Este padecimiento, llamado amelogénesis imperfecta, se caracteriza porque el esmalte de los dientes es mucho más delgado y débil, por lo que la sensibilidad a la hora de morder, masticar o lavarse los dientes, es mucho mayor y causa fuerte dolor. Esto ocurre tanto con los dientes de leche como con los permanentes.
Además, al tener poco esmalte, los dientes se ven amarillos, lo que también afecta la salud emocional de los pacientes.
Cuestión de genes. La investigación, publicada en la revista Human Molecular Genetics , fue liderada por Gina Murillo, de la Facultad de Odontología de la UCR.

El estudio contó con el apoyo de Sandra Silva, especialista en fisiología celular del Centro de Investigación en Biología Celular y Molecular de la UCR, y del especialista en salud oral de la Universidad de Leeds, Alan Mighell.
El hallazgo de esta mutación es parte de un estudio mucho más amplio que gira sobre la genética de la amelogénesis imperfecta.
Para desarrollarlo, los investigadores identificaron a varias familias costarricenses cuyo esmalte dental presentaba lesiones que podían sugerir la existencia de la enfermedad. Se ha reclutado a 14 grupos familiares. A todos los participantes se les tomaron muestras de saliva, que se mandaron a Inglaterra para su análisis.
En una de las familias, tres hijas de los seis que tiene la pareja, presentaron el padecimiento, pese a que ninguno de los padres la tiene.
Las hermanas con amelogénesis no muestran problemas en los huesos –algo que a veces se relaciona con este mal– y su condición de salud es buena.
Al analizar los genes de las tres hermanas con la enfermedad, se determinó que había una mutación genética en la que la segunda proteína más abundante del esmalte dental, llamada ameloblastina, es mucho menor.
Los investigadores vieron que estas muchachas tenían 79 aminoácidos (compuestos que forman las proteínas) menos que una persona sin la mutación.
“Esto es muy importante, el rol de la ameloblastina en la amelogénesis imperfecta solo había sido descubierto en ratones y nunca se había asociado y demostrado en seres humanos”, explicó Murillo.
“El análisis de varias piezas dentales de esta familia confirma este hallazgo, que es el primero relacionado con enfermedades genéticas en piezas dentales. También confirma que mutaciones en la proteína no están siempre relacionadas con problemas en los huesos”, añadió la investigadora.
Aporte. Para Murillo, el descubrimiento permite a los afectados conocer el origen de la enfermedad y decidir si quieren tener hijos, pues se trata de un padecimiento hereditario.
Igualmente, ayudará a mejorar el tratamiento por parte del odontólogo que los atiende, aunque no se trata de un procedimiento sencillo ni de bajo costo.
“Muchos se forran los dientes o utilizan prótesis, algo que no es barato, por lo que no es asequible a todas las personas. Sin embargo, este hallazgo nos hace comprender mucho mejor la enfermedad”, resaltó Murillo.
